|
CT SCAN:
THE SOMATOM DEFINITION AS EXCEL CT scan machine is a high-end, 64-slice scanner.
- Worldwide release in May 2010
- New radiation dose saving features (such as Adaptive Dose Shield that blocks unnecessary radiation and CARE Dose4D i.e Combined Applications to Reduce Exposure wherein analysis of the cross-sectional anatomy of each individual patient is done in real time ensuring that the patient is exposed only to the clinically necessary dose.)
- Outstanding clinical performance and highly advanced clinical applications, especially for Cardiac CT Angiography and whole body CT scans.
- Scanner adaptive to any patient including pediatric and obese, and to any clinical need.
This latest 64 slice CT machine has a special role in Cardiac Angiography, since this investigation has been found to be a viable alternative to catheter angiography. Cardiac coronary Angiography has been found to be highly sensitive and specific in diagnosing coronary artery stenosis, stenosis in coronary stents and occluded coronary bypass grafts. The added advantage of Cardiac CT angiography is that it is completely non invasive, unlike catheter angiography. Also it is the modality to detect and characterize silent non-obstructive atherosclerotic plaques, which may be associated with adverse outcome and cannot be picked up on catheter angiography
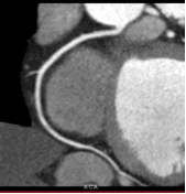
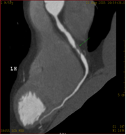
Normal RCA
Normal LAD
Mid RCA Stenosis
Chronic LAD occlusion
Acute thrombosis in the LAD
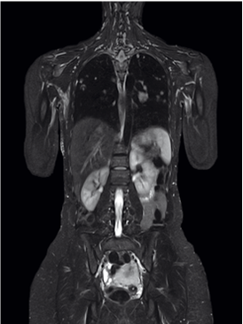
MRI:
The Siemens MRI machine is the latest multi-channel multi-transmitter machine.
- Its ultra-fast image acquisition results in shorter-than-ever examination times, scanning any body part in 7-8 minutes in very high resolution
- The machine’s ultra light coils and special magnet suspension provides upto 97% reduction in acoustic noise
- For claustrophobic patients, feet first examination is possible in nearly all procedures
- Difficult patients handled with ease
- Supports upto 250 kgs in obese patients
- Total flexibility, with innovative applications for each part of the body
Seamlessly scanning up to 205 cm with no patient repositioning or coil changes
|